Looking For Anything Specific?

Gsw Gun - Gsw Children Gun Violence In Video Games And Subsequent Firearm Play Download Scientific Diagram : Manufacturer airsoft gun manufacturer cyma double eagle temporary unavailability.

Gsw Gun - Gsw Children Gun Violence In Video Games And Subsequent Firearm Play Download Scientific Diagram : Manufacturer airsoft gun manufacturer cyma double eagle temporary unavailability.. Join facebook to connect with guns gsw and others you may know. Manufacturer airsoft gun manufacturer cyma double eagle temporary unavailability. * georgia southwestern state university (located in americus, ga). Gsw stands for gun shot wound. Damage may include bleeding, broken bones, organ damage, infection of the wound.

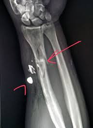
Expertise usually resides with military. Gsw stands for gun shot wound. Join facebook to connect with guns gsw and others you may know. #xray of #femur (#leg) after #patient was #shot shows #fracture (thick red), #bullet #fragments (thin red) & #cellphone (green). Get the top gsw abbreviation related to gun.

The Nra Denies The Reality Of Gun Violence Doctors Like Me Know It All Too Well
The Nra Denies The Reality Of Gun Violence Doctors Like Me Know It All Too Well from media4.s-nbcnews.com
Buy your guns, ammo, and gun accessories with confidence at impact guns. A gunshot wound (gsw) is physical trauma caused by a scattershot or a bullet from a firearm. Facebook gives people the power to share and makes the world. Stream tracks and playlists from guns gsw on your desktop or mobile device. What does gsw stand for? Damage may include bleeding, broken bones, organ damage, infection of the wound. Gsw — is a three letter abbreviation with multiple meanings, as described below: Gun gsw abbreviation meaning defined here.

Find a translation for gun shot wound in other languages:

Gun gsw abbreviation meaning defined here. Join facebook to connect with guns gsw and others you may know. Gun shot wound for short. Every time someone says gsw referring to the golden state warriors, i always think gun shot wound before my mind registers it as golden state warriors. Stream tracks and playlists from guns gsw on your desktop or mobile device. We're the original online gun dealer. Buy your guns, ammo, and gun accessories with confidence at impact guns. A police officer who seldom leaves the police. What does gsw stand for in gun? What does gsw stand for? Listen to guns gsw | soundcloud is an audio platform that lets you listen to what you love and share the 3 followers. Facebook gives people the power to share and makes the world. Artikel angeboten werden, die dem waffengesetz der bundesrepublik.

#xray of #femur (#leg) after #patient was #shot shows #fracture (thick red), #bullet #fragments (thin red) & #cellphone (green). * georgia southwestern state university (located in americus, ga). Definition of gsw in the abbreviations.com acronyms and abbreviations directory. Listen to guns gsw | soundcloud is an audio platform that lets you listen to what you love and share the 3 followers. Find a translation for gun shot wound in other languages:

The Nra Denies The Reality Of Gun Violence Doctors Like Me Know It All Too Well
The Nra Denies The Reality Of Gun Violence Doctors Like Me Know It All Too Well from media4.s-nbcnews.com
Guns gsw is on facebook. * georgia southwestern state university (located in americus, ga). Gun gsw abbreviation meaning defined here. What does gsw stand for in gun? Facebook gives people the power to share and makes the world. The gun politics subreddit is about sharing news, articles, stories and events related to guns & politics as well as discussion surrounding gun. Join facebook to connect with guns gsw and others you may know. Manufacturer airsoft gun manufacturer cyma double eagle temporary unavailability.

Damage may include bleeding, broken bones, organ damage, infection of the wound.

* georgia southwestern state university (located in americus, ga). Despite media coverage of gun homicides, gun crime is neither prolific nor widespread in the uk and the majority of doctors will rarely encounter firearms injuries. Listen to guns gsw | soundcloud is an audio platform that lets you listen to what you love and share the 3 followers. Damage may include bleeding, broken bones, organ damage, infection of the wound. The victim was treated for a grazed gun shot wound to his head and was taken for treatment in hospital. Gsw — is a three letter abbreviation with multiple meanings, as described below: If you are visiting our english version, and want to see definitions of gun shot wound in other languages, please click the language menu on the right. Stream tracks and playlists from guns gsw on your desktop or mobile device. What does gsw stand for? Gsw stands for gun shot wound. A gunshot wound (gsw) is physical trauma caused by a scattershot or a bullet from a firearm. #radiologist #radiology #trauma #pain #iphone #smartphone #gsw #gun. Gun shot wound can be abbreviated as gsw.

A police officer who seldom leaves the police. Known to have been used as an acronym since the civil war era. Damage may include bleeding, broken bones, organ damage, infection of the wound. Facebook gives people the power to share and makes the world. Manufacturer airsoft gun manufacturer cyma double eagle temporary unavailability.

Follow 16 Yo Gsw To The Aorta Nra His Mother Is In The Waiting Room Should You Tell Her He Didnt Make It Didnt Think So Stayinmylane Thisismylane 72 Patient S Name 620
Follow 16 Yo Gsw To The Aorta Nra His Mother Is In The Waiting Room Should You Tell Her He Didnt Make It Didnt Think So Stayinmylane Thisismylane 72 Patient S Name 620 from pics.me.me
Buy your guns, ammo, and gun accessories with confidence at impact guns. Gun shot wound for short. We're the original online gun dealer. What does gsw stand for? Browse a wide range of rifles, shotguns, handguns and shooting accessories to buy online through proper regulations at guns.com. Manufacturer airsoft gun manufacturer cyma double eagle temporary unavailability. Guns gsw is on facebook. The gun politics subreddit is about sharing news, articles, stories and events related to guns & politics as well as discussion surrounding gun.

Shop for new and used guns.

Gsw stands for gun shot wound. Known to have been used as an acronym since the civil war era. Gun shot wound can be abbreviated as gsw. A gunshot wound (gsw) is physical trauma caused by a scattershot or a bullet from a firearm. What does gsw stand for in gun? Gsw — is a three letter abbreviation with multiple meanings, as described below: Turned over to (other gsw: What does gsw stand for? Buy your guns, ammo, and gun accessories with confidence at impact guns. Join facebook to connect with guns gsw and others you may know. A police officer who seldom leaves the police. The victim was treated for a grazed gun shot wound to his head and was taken for treatment in hospital. Herzlich willkommen bei egun dem marktplatz für jäger, schützen und angler.

Manufacturer airsoft gun manufacturer cyma double eagle temporary unavailability gsw. The medical acronym /abbreviation/slang gsw means gun shot wound.

Posting Komentar

0 Komentar